home prophylaxe
Impl_rein-masch02
PZR
für Erwachsene
Professionelle Wurzel-
oberflächenreinigung
Kinder- und
Jugendprophylaxe
Fissuren-
versiegelung
Aufschleifen des par.
Instrumentariums
Bleaching 
mit Erfolg
PAR - Vorbehandlung
und Recall
Prophylaxekonzept
mit Erfolg
Alterszahnheilkunde:
Fit für Senioren
Professionelle Betreuung
von Implantatpatienten
Externe
Prophylaxeschulungen
Praktischer Arbeitskurs
für PZR - Profis
PZR - Update
für Prophylaxeprofis
Die überzeugende
PZR Beratung
Zahnklein04
kursangebote galerie anfahrt
anmeldung

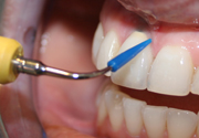
Professionelle Betreuung von Implantatpatienten

In den letzten Jahren ist der Stellenwert der Implantologie enorm gestiegen. Immer mehr Patienten entscheiden sich für diesen hochwertigen und festsitzenden Zahnersatz.

Nach der Einheilphase ist die professionelle Nachsorge durch regelmäßige Biofilmentfernung unter Beobachtung von beginnenden Veränderungen wie Mukositis oder Periimplantitis das oberste Ziel.

In diesem Kurs erlernt die zahnärztliche Mitarbeiterin neben der regelmäßigen Biofilmentfernung Veränderungen um das Implantat zu diagnostizieren und geeignete Behandlungsmethoden einzuleiten.

Theoretische Grundlagen 

Vorbehandlung    

Spezielle Anatomie    

Mukositis

Periimplantitis

Mikrobiologische Tests 

Biofilmentfernung             

Einstufung des Recallintervalls 

Praktischer Kursteil 

Biofilmentfernung mit manuellen und maschinellen Instrumenten am Phantommodell    

Oberflächenpolitur

Anwendung von CHX Produkten 

Recall

Durch fachlich kompetente und überzeugende Aufklärungsgespräche Patienten für das regelmäßige Recall gewinnen    

Theoretischer und praktischer Intensivkurs

Halbtageskurs 

Mitzubringen

Die in der Praxis verwendeten *Politurpasten/-kelche, *die in der Praxis vorhandenen Instrumente zur Implantatreinigung (bitte vor dem Kurs keine neuen Instrumente kaufen), *Mundschutz   

Termin:

KursNr. 2511-49, Mittwoch , 26.11.25

KursNr. 2601-07, Mittwoch , 28.01.26

Zeit: 13.00h - 17.30h

Kursgebühr: 190,- Euro

PunktBlauNeu PunktBlauNeu PunktBlauNeu PunktBlauNeu PunktBlauNeu

5 Punkte

AGBs

zum Kurs anmelden...

Datenschutz

Impressum